首页
搜索
分类
账户
访客
登录
购物车
收藏 (
0
)
品牌
0
购物车
0
收藏
订单
报价
首页
联系我们
0
0
登录
联系我们
商店
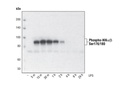
Phospho-IKKα/β (Ser176/180) (16A6) Rabbit mAb
Phospho-IKKα/β (Ser176/180) (16A6) Rabbit mAb
/shop/003-2697l-phospho-ikk-ser176-180-16a6-rabbit-mab-300ul-25434
现货,1个工作日发货
¥
12,390.00
12390.0
CNY
¥
12,390.00
¥
12,390.00
此组合不存在。
加购物车
添加收藏
目录号:
2697L
计量单位:
PC
商品规格:
300ul
CST
分享商品:
Phospho-IKKα/β (Ser176/180) (16A6) Rabbit mAb
¥
12,390.00
规格
无规格
这是用户近期浏览商品预览.
只要用户查看过一个商品这个片断就会显示.
×
近期浏览商品