首页
搜索
分类
账户
访客
登录
购物车
收藏 (
0
)
品牌
0
购物车
0
收藏
订单
报价
首页
联系我们
0
0
登录
联系我们
商店
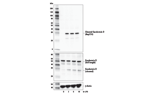
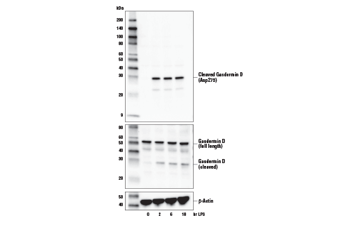
Human Reactive Cell Death and Autophagy Antibody Sampler Kit
Human Reactive Cell Death and Autophagy Antibody Sampler Kit
/shop/003-42867t-human-reactive-cell-death-and-autophagy-antibody-sampler-kit-1kit-29897
期货待确认
¥
10,240.00
10240.0
CNY
¥
10,240.00
¥
10,240.00
此组合不存在。
加购物车
添加收藏
目录号:
42867T
计量单位:
PC
商品规格:
1Kit
CST
分享商品:
Human Reactive Cell Death and Autophagy Antibody Sampler Kit
¥
10,240.00
规格
无规格
这是用户近期浏览商品预览.
只要用户查看过一个商品这个片断就会显示.
×
近期浏览商品