首页
搜索
分类
账户
访客
登录
购物车
收藏 (
0
)
品牌
0
购物车
0
收藏
订单
报价
首页
联系我们
0
0
登录
联系我们
商店
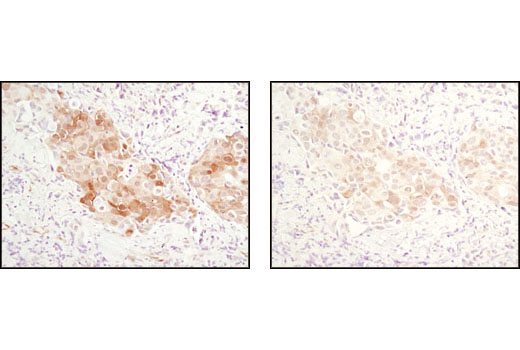
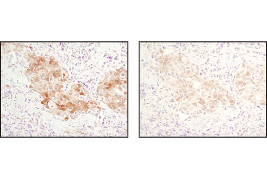
SignalStain Antibody Diluent
SignalStain Antibody Diluent
/shop/003-8112l-signalstain-antibody-diluent-100ml-22691
现货,1个工作日发货
¥
1,340.00
1340.0
CNY
¥
1,340.00
¥
1,340.00
此组合不存在。
加购物车
添加收藏
目录号:
8112L
计量单位:
PC
商品规格:
100ml
CST
分享商品:
SignalStain Antibody Diluent
¥
1,340.00
规格
无规格
这是用户近期浏览商品预览.
只要用户查看过一个商品这个片断就会显示.
×
近期浏览商品